Gusi Belakang Bengkak : 7 obat yang ampuh di apotek dan di rumah untuk mengatasi gusi bengkak.

Gusi Belakang Bengkak : 7 obat yang ampuh di apotek dan di rumah untuk mengatasi gusi bengkak.. Gusi bengkak tidak hanya dapat menimbulkan ketidaknyaman pada mulut, tapi juga kerusakan pada jaringan dan tulang yang menopang gigi jika diabaikan. Gusi bengkak adalah masalah mulut yang mengganggu bagi setiap orang, di antaranya menyebabkan ketidaknyamanan. Khusus untuk gusi belakang, berikut penyebab gusi belakang bengkak yang perlu diwaspadai. Gusi bengkak merupakan salah satu gangguan gigi yang menyebabkan rasa yang tidak nyaman. Gusi bengkak juga dikenali sebagai gingivitis.

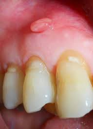
Gusi bengkak akan sembuh dengan cepat. Gusi bengkak merupakan salah satu gangguan gigi yang menyebabkan rasa yang tidak nyaman. Gusi yang bengkak biasanya ditandai oleh adanya bagian gusi yang mengalami pembesaran, menonjol dan menggelembung. Gusi bengkak merupakan gangguan mulut yang cukup sering dialami sebagian orang. Gusi belakang bengkak, hal ini dapat mengganggu proses makan dan bicara seseorang.

Ketahui Penyebab Dan Obat Sakit Gusi Bengkak Yang Tepat Alodokter
Ketahui Penyebab Dan Obat Sakit Gusi Bengkak Yang Tepat Alodokter from res.cloudinary.com
Lemon untuk obat gusi bengkak. Gusi bengkak juga dikenali sebagai gingivitis. Gusi belakang bengkak, hal ini dapat mengganggu proses makan dan bicara seseorang. 27/01/2011 indridrg leave a comment go to comments. Gusi bengkak adalah masalah mulut yang mengganggu bagi setiap orang, di antaranya menyebabkan ketidaknyamanan. Cara mengobati gusi bengkak alami yang murah dan mudah didapat. Gusi yang bengkak biasanya ditandai oleh adanya bagian gusi yang mengalami pembesaran, menonjol dan menggelembung. Penyakit gusi bengkak dan gusi tidak bengkak jangan diremehkan apalagi di abaikan karena bisa jadi tumbuh menjadi penyakit gusi akut susah di sembuhkan.

Bengkak gusi, dia punya sakit memang tak boleh bincang.

Adanya pembengkakan gusi juga dapat menimbulkan rasa sakit berlebih yang. Pernah mengalami sakit gusi bengkak, kalau sudah bagaimana pendapat anda tentang hal itu. Ketahui kenapa masalah ini terjadi & tips mengatasinya. Kenapa gusi belakang bengkak dan sakit dental id. Gusi bengkak biasanya dapat ditangani dengan memberikan perhatian pada kebersihan mulut. Bengkak gusi, dia punya sakit memang tak boleh bincang. Khusus untuk gusi belakang, berikut penyebab gusi belakang bengkak yang perlu diwaspadai. Gusi bengkak merupakan gangguan mulut yang cukup sering dialami sebagian orang. Gusi belakang sering bengkak sudah hal. Gusi bengkak juga dikenali sebagai gingivitis. Gusi bengkak pada umumnya dapat melibatkan satu atau lebih bit berbentuk segitiga antara gigi terdekat. Seorang pasien konsultasi ke dokter gigi mengeluhkan sakit dan bengkak pada gusi gigi kanan. Gusi belakang bengkak, hal ini dapat mengganggu proses makan dan bicara seseorang.

Lemon untuk obat gusi bengkak. Masalah gusi bengkak usah dipandang enteng. Adanya pembengkakan gusi juga dapat menimbulkan rasa sakit berlebih yang. Anda tinggal mencampurkan tiga tetes minyak esensial tersebut dengan air hangat sebanyal 250 mililiter. Cara mengobati gusi bengkak bisa dengan cara tradisional atau dengan cara obat modern.

Penyebab Gusi Bengkak Dan Beberapa Cara Mengatasinya
Penyebab Gusi Bengkak Dan Beberapa Cara Mengatasinya from cdn.hellosehat.com
Lemon untuk obat gusi bengkak. Cara mengempeskan gusi bengkak dengan minyak esensial cukup praktis. Mengkompres gusi dengan es batu dapat digunakan ketika gusi bengkak tidak disertai nyeri atau berdenyut. Baca untuk ketahu cara hilangkan bengkak gusi yang cepat dan berkesan, tanpa ubat. Ada banyak penyebab gusi belakang bengkak yang bisa anda alami. Agar kamu tidak kaget saat mengalaminya, berikut penjelasannya. Seperti namanya, gusi bengkak adalah keadaan di mana gusi mengalami pembengkakan. Gusi yang bengkak berarti pada gusi tersebut terjadi peradangan atau inflamasi sehingga warnanya menjadi lebih merah, menonjol, dan kadang terlihat kekuningan di ujungnya sebagai tanda adanya.

Penting bagi kita untuk mengetahui.

Gusi belakang bengkak bisa terjadi di semua area termasuk juga gusi belakang tempat tumbuhnya gigi bungsu tempat gigi geraham ketiga tumbuh. Gusi bengkak biasanya dapat ditangani dengan memberikan perhatian pada kebersihan mulut. Cara mengobati gusi yang bengkak membuat gigi menjadi sakit dengan menggunakan bahan alami part 2. Gusi bengkak juga dikenali sebagai gingivitis. 7 obat yang ampuh di apotek dan di rumah untuk mengatasi gusi bengkak. Gusi belakang bengkak, hal ini dapat mengganggu proses makan dan bicara seseorang. 27/01/2011 indridrg leave a comment go to comments. Seorang pasien konsultasi ke dokter gigi mengeluhkan sakit dan bengkak pada gusi gigi kanan. Gusi yang bengkak berarti pada gusi tersebut terjadi peradangan atau inflamasi sehingga warnanya menjadi lebih merah, menonjol, dan kadang terlihat kekuningan di ujungnya sebagai tanda adanya. Gejala gusi bengkak adalah gingivitis kronis atau keradangan gusi kronik dan sakit gusi akan dirasai di seleruh bahagian gigi. Gusi belakang bengkak bisa terjadi ketika gigi bungsu geraham akan tumbuh atau erupsi, terutama anda juga bisa mengatasi gusi belakang bengkak dengan berkumur air garam hangat atau obat. Adanya pembengkakan gusi juga dapat menimbulkan rasa sakit berlebih yang. Ia adalah salah satu penyebab kepada merah dan bengkaknya bahagian gusi iaitu dibahagian tapak gigi.

Gusi bengkak merupakan gangguan mulut yang cukup sering dialami sebagian orang. Baca untuk ketahu cara hilangkan bengkak gusi yang cepat dan berkesan, tanpa ubat. Gusi bengkak juga bisa disebabkan oleh faktor lain, lo. Kenapa gusi belakang bengkak dan sakit? Pernah mengalami sakit gusi bengkak, kalau sudah bagaimana pendapat anda tentang hal itu.

Gigi Bungsu Belakang Anda Sakit Ini Dia Penyebabnya
Gigi Bungsu Belakang Anda Sakit Ini Dia Penyebabnya from cdn.hellosehat.com
Cara mengempeskan gusi bengkak dengan minyak esensial cukup praktis. Cara mengobati gusi bengkak alami yang murah dan mudah didapat. Mengkompres gusi dengan es batu dapat digunakan ketika gusi bengkak tidak disertai nyeri atau berdenyut. Apa punca gusi bengkak, berdarah dan bernanah? Masalah gusi bengkak usah dipandang enteng. Gusi bengkak adalah gangguan mulut yang sering dialami oleh orang selain gigi berlubang. Gusi belakang bengkak bisa terjadi ketika gigi bungsu geraham akan tumbuh atau erupsi, terutama anda juga bisa mengatasi gusi belakang bengkak dengan berkumur air garam hangat atau obat. Ada banyak penyebab gusi bengkak.

Masalah gusi bengkak usah dipandang enteng.

Gusi bengkak juga bisa disebabkan oleh faktor lain, lo. Gusi yang bengkak biasanya ditandai oleh adanya bagian gusi yang mengalami pembesaran, menonjol dan menggelembung. Gusi bengkak merupakan gangguan mulut yang cukup sering dialami sebagian orang. 7 obat yang ampuh di apotek dan di rumah untuk mengatasi gusi bengkak. 27/01/2011 indridrg leave a comment go to comments. Kondisi ini bisa jadi merupakan tanda awal dari peradangan gusi. Mulai dari gingivitis, periodontitis, dan abses gigi. Ia adalah salah satu penyebab kepada merah dan bengkaknya bahagian gusi iaitu dibahagian tapak gigi. Ketika gusi belakang bengkak, ancaman peradangan dan pendarahan di bagian gusi lain sangat terbuka lebar. Gusi bengkak adalah gangguan mulut yang sering dialami oleh orang selain gigi berlubang. Salah satu gangguan gusi yang biasanya menyerang banyak orang adalah gusi bengkak. Gusi bengkak adalah kondisi di mana gusi membesar secara abnormal dan terasa menonjol. Cara mengempeskan gusi bengkak dengan minyak esensial cukup praktis.

Related : Gusi Belakang Bengkak : 7 obat yang ampuh di apotek dan di rumah untuk mengatasi gusi bengkak..